红网时刻新闻6月22日讯(通讯员 刘爱英)从5月起,长沙市天心区67岁的许爹爹总是感觉胸闷气促不适。然而这种不适在稍事休息后便可缓解,因此他也没太在意。
两周前,许爹爹在爬坡时突然晕厥、意识丧失,并不停地出汗。一旁的家人又是呼叫、又是掐人中,约2-3分钟后,许爹爹才逐渐转醒,家人赶紧将他送至长沙市第三医院急诊医学科。
经急诊初步治疗,许爹爹胸闷气促的情况好转,之后被收治入心血管内科二病室,以进一步检查明确晕厥的原因。
谁知刚进病房,许爹爹胸闷气促的程度突然加重,出现强烈的憋闷感,嘴唇发绀,血氧饱和度仅为84%(正常人血氧饱和度在95%以上)。
心血管病学学科主任张育民立即查看情况,发现许爹爹双下肢有静脉曲张,再结合晕厥、突发呼吸困难的临床症状,考虑肺栓塞可能性极大。
肺栓塞是由内源性或外源性栓子阻塞肺动脉或其分支引起肺循环和右心功能障碍的一组疾病或临床综合征的总称,病情凶险,死亡率非常高,因此,早期正确诊断肺栓塞是挽救患者生命的重要关键。
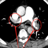
事不宜迟,许爹爹经绿色通道被快速送入放射影像科行肺动脉CTA检查。结果发现,老人的肺动脉有多处栓塞(左、右侧肺动脉、双侧肺动脉各段主干及部分亚段均有栓塞);超声检查发现他的双下肢静脉有明显血栓形成,心脏彩超提示右心增大,说明肺栓塞已累及心脏,许爹爹随时有性命之忧!
经过溶栓以及后续抗凝、无创辅助通气、升压等对症支持治疗后,许爹爹胸闷气促明显好转,病情得到基本控制。
“我好端端的,怎么会得肺栓塞呢?”许爹爹百思不得其解。
张育民解释,大多数堵塞肺动脉的栓子,源于下肢静脉血栓形成,除了遗传等原发性因素外,静脉血栓形成的主要因素为静脉系统瘀滞、静脉系统内皮损伤和血液高凝状态,常见于创伤、骨折、制动、肿瘤等患者。
许爹爹基本可排除原发性危险因素,近期也没有发生骨折、创伤等,唯一可寻的是老人有着每天下午都要打麻将的习惯,在牌桌前常常一坐就是3-4个小时不动。
张育民告诉许爹爹,正是由于他长期打麻将,久坐不动,血液瘀滞,导致下肢静脉血栓形成,栓子顺着血液进入肺动脉,导致肺栓塞的发生。
张育民提醒,日常生活中,高龄、孕妇,以及肿瘤、静脉曲张、术后制动患者等有静脉血栓形成危险因素的高危人群应该注意多喝水、戒烟少酒、合理饮食,尽量避免久坐不动。
肺栓塞发病过程和临床症状呈现多样性,无明显特异性,因此,一旦像许爹爹一样,如果出现不明原因的呼吸困难、胸痛、咳嗽等症状时,一定要及时就诊,避免贻误病情。
来源:红网
作者:刘爱英
编辑:吕周阳
本站原创文章,转载请附上原文链接。
本文链接:https://health.rednet.cn/content/2022/06/22/11416405.html
