红网时刻新闻2月24日讯(通讯员 张雪恒)春节,是万家灯火映照的团圆日,是热气腾腾的人间烟火气。然而,对于中南大学湘雅三医院耳鼻咽喉头颈外科的医护团队而言,这个马年春节,却迎来了两场惊心动魄的“生命突围战”。
2月15日、2月20日,当长沙沉浸在辞旧迎新的欢声笑语中,两位病情凶险的颈部深部脓肿患者先后被推入耳鼻咽喉头颈外科。他们都有多年糖尿病病史,春节期间饮食不规律、作息紊乱、血糖波动大,让原本隐匿的感染如野火般迅速蔓延。其中一位患者的感染已突破颈部间隙,如藤蔓般向下侵入纵隔区域——那里是心脏、大血管、气管的“交通枢纽”,是人体最脆弱的生命禁区之一。CT影像上,脓肿中密布的气腔像一个个危险的信号,气管严重受压,每一次呼吸都变得艰难。而临床研究数据表明,颈深部脓肿并发下行性纵隔炎,病死率为40%~70%。患者的生命,危在旦夕。

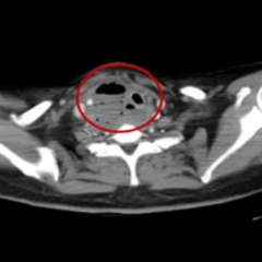
患者甲CT示:颈部及纵隔脓肿,脓肿中含有多个气腔

患者乙CT示:颈部咽后间隙—右侧咽旁间隙—右侧颈动脉间隙脓肿
“立即开通绿色通道!”面对患者痛苦的呻吟和家属焦急的眼神,医院耳鼻咽喉头颈外科团队迅速集结,开通急诊绿色通道,开展全面谨慎地评估,制定手术方案,完善术前准备,分别于15日与20日,连夜为两位患者开展了急诊手术。
手术中,大量脓性分泌物被引出,压迫纵隔与气道的“定时炸弹”被成功拆除。手术台上,副主任医师张永全、卿翔、艾金刚以及总住院医师陈潇雅等目光如炬,动作精准而沉稳;手术室外,家属的焦灼等待在手术灯熄灭的瞬间化作热泪。两台手术顺利完成,成功挽救了两位患者的生命。
术后,患者的生命体征平稳,在血糖管控与后续治疗的护航下,正一步步走向康复。耳鼻咽喉头颈外科医护团队说,这只是日常工作的缩影。而正是这份“日常”,在这个马年新春,团队用专业筑牢了生命“防线”,托举起患者家庭的团圆与希望。
湘雅三医院耳鼻咽喉头颈外科主任王天生提醒:颈深部脓肿起病隐匿、进展极快,尤其是糖尿病患者是高发人群。一颗牙痛、一次扁桃体炎,都可能成为致命感染的源头。春节期间,健康警钟仍需长鸣:糖尿病患者需规律监测血糖,切勿擅自停药;若出现颈部肿痛、发热、吞咽困难等症状,切莫当作“上火”而忽视,及时就医才是最好的健康守护。
来源:红网
作者: 张雪恒
编辑:戴丹
本站原创文章,转载请附上原文链接。
本文链接:https://health.rednet.cn/content/646046/68/15717390.html
