红网时刻新闻3月11日讯(通讯员 王钰银)近日,中南大学湘雅医院小儿外科联合多学科团队成功为一名患有先天性食管裂孔疝的1岁2个月宝宝依依(化名)实施微创手术,术后她已顺利恢复出院。

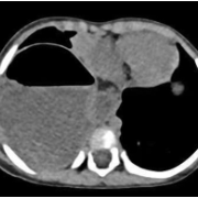
这一个多月来,1岁2个月的依依每次吃奶后都会呕吐、腹泻,反反复复不见好。焦急的家人带她到当地医院就诊,为了查清病因,医生为她安排了腹部CT检查。结果却出乎所有人的意料——依依的胃,竟然不在它应该在的腹腔里,而是穿过分隔胸腔和腹腔的肌肉层,“跑”进了右侧胸腔。
这个意外发现让家人意识到问题的严重性。为了明确诊断,他们带着依依来到湘雅医院。进一步的检查确认,依依患的是一种先天性结构畸形,叫做“食管裂孔疝”,同时还伴有胃-食管反流。正常情况下,食管穿过膈肌进入腹腔的那个通道,在依依身上变得异常宽大,以至于胃,甚至部分结肠都从这个缺口挤进了胸腔。这不仅导致她吃进去的食物无法正常消化吸收,引起呕吐和营养不良,更严重的是,移位的内脏还压迫了她的右肺,导致肺叶无法充分张开,甚至引发了肺部感染。

面对这种复杂的先天畸形,医生们一致认为,如果不及时干预,随着依依长大,突入胸腔的胃发生嵌顿、扭转甚至穿孔的风险将越来越高;而肺部长期受压,也会严重影响依依未来的呼吸功能。因此,必须通过手术将胃复位,并修补那个异常扩大的“裂孔”。
经过充分的术前准备,医院团队为依依实施了腹腔镜下食管裂孔疝修补术加胃底折叠术。术中,医生清晰地看到,除了胃,还有一部分结肠也经扩大的裂孔钻进了右侧胸腔,他们将这些脏器一一归位,关闭了那道异常宽大的食管裂孔,并巧妙地用胃底折叠重建了一个抗反流的“阀门”,从根源上解决了依依胃食管反流的问题。
术后第一天,依依开始进食,困扰她一个多月的呕吐消失了。术后第三天复查,受压的右肺已完全张开。术后一周,依依顺利康复出院。
湘雅医院小儿外科副教授朱勤介绍,食管裂孔疝患儿的临床症状通常不典型,通常因频繁呕吐而就诊,或在X线或CT检查时才偶然发现有该病的存在。此外,由于部分食管裂孔疝患儿合并有胃食管反流,患儿往往因误吸反流的胃内容物而造成吸入性肺炎,大约有30%的新生儿或小婴儿期食管裂孔疝以呼吸道感染为主要表现。极个别严重患儿可能会因进入胸腔的胃或肠管发生嵌顿、梗阻而导致坏死、穿孔等。对于确诊的儿童食管裂孔疝,除了一部分轻型病例外,大多数均需手术治疗。
医生表示,当孩子出现反复呕吐、顽固性腹泻、喂养困难、生长发育迟缓,或者反复发生肺炎、喘息时,切勿简单地当成“肠胃不好”或“抵抗力差”,应尽早到医院就诊,通过相关检查以排除食管裂孔疝等先天性结构畸形疾病。
来源:红网
作者:王钰银
编辑:甘伟萍
本站原创文章,转载请附上原文链接。
本文链接:https://health.rednet.cn/content/646047/55/15757076.html
