红网时刻新闻3月24日讯(通讯员 骆丽萍 艾凯)近日,中南大学湘雅二医院泌尿外科李源教授团队联合血管外科、放射介入科、代谢与内分泌科、麻醉科以及肿瘤科等多个学科,成功为两例巨大肾上腺皮质腺癌患者实施高难度手术治疗。两位患者术后恢复良好,均已顺利出院,彰显了湘雅二医院在复杂肾上腺肿瘤诊疗领域的强大综合实力。
肾上腺皮质腺癌是肾上腺肿瘤中最为复杂的类型之一,起病隐匿,很多患者在发现时肿瘤体积已较大,且常伴周围脏器及重要血管受累,手术切除是该类疾病最主要的治疗方式,但手术往往难度大、风险高,对术前评估、围手术期管理及多学科协作能力提出了很高要求,一直是外科领域的难点。
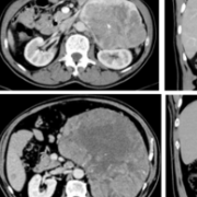
近期,医院收治的两名巨大肾上腺皮质腺癌患者中,一名68岁男性因“左腹疼痛1周”入院,检查显示患者左侧肾上腺约18×15cm巨大肿瘤侵犯肾门血管,手术难度极高。另一名56岁男性因“发现腹膜后肿物半年”入院,检查显示左肾上腺25×18cm巨大肿瘤同时累及左肾,并伴左肾静脉及下腔静脉癌栓形成,手术切除风险极大。

针对患者病情,李源教授团队联合血管外科、胆胰外科、麻醉科、代谢与内分泌科、重症医学科及肿瘤科等多学科专家进行会诊,制定了个性化手术方案。术中,团队精细操作,成功为第一例患者完整切除肿瘤及肾静脉并行左肾静脉重建术;为第二例患者实施左肾上腺巨大肿瘤切除术+左肾静脉癌栓取出术,耗时约4小时后完整切除肿瘤及癌栓,并成功为患者保留了左侧肾脏及其功能。两例患者术后均恢复顺利,后续计划至肿瘤科行下一步治疗。
中南大学湘雅二医院泌尿外科在李源主任的带领下,长期致力于泌尿外科复杂巨大肿瘤的诊疗。依托医院强大的多学科协作平台,为患者提供规范化、精准化、个体化治疗方案,在追求最佳治疗效果的同时,最大程度保障患者安全。此次两例复杂肾上腺皮质腺癌患者的救治,再次体现了我院多学科团队在处理复杂疑难病例方面的丰富经验和强大实力。未来,团队将继续秉承“内外兼修”的理念,不断精进技术,优化诊疗流程,为更多复杂肿瘤患者带来福音。
来源:红网
作者:骆丽萍 艾凯
编辑:甘伟萍
本站原创文章,转载请附上原文链接。
本文链接:https://health.rednet.cn/content/646047/68/15789945.html
