红网时刻新闻4月21日讯(通讯员 谌莎莎 何改生)4月20日,在湖南省第二人民医院骨关节运动医学科门诊,家长领来一位14岁的男孩,踢足球之后出现右膝关节前方疼痛。而且这种症状去年就有,因当时不严重,就没来医院看,但上个周末当他再次运动时,又出现了不舒服。李宝军主任医师查看了男孩的膝关节以后,诊断为“右侧胫骨结节骨软骨炎”,完善右膝关节正侧位X线,X线的结果诊断符合“右胫骨结节骨软骨炎”。

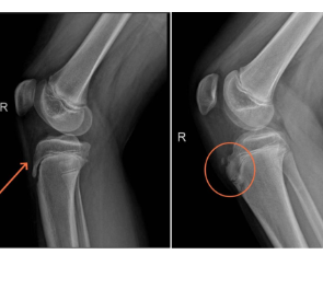
左图为正常的青少年胫骨结节,右图为病变的青少年胫骨结节,可见明显凸起。
“很多爱运动的10-15岁的青少年,尤其是男孩,在打完球或跑完步后,会抱怨膝盖下方一点的地方疼。家长往往会觉得这是‘生长痛’,或者孩子磕碰到了。其实,这很可能是一种常见的运动损伤——胫骨结节骨软骨炎。”李宝军解释。
胫骨结节骨软骨炎是怎么形成的呢?
李宝军介绍,大腿前侧的股四头肌通过髌腱,连接在小腿胫骨上端的一个凸起处,这个凸起就叫“胫骨结节”。当孩子反复跑、跳、踢球时,股四头肌会猛烈收缩,通过髌腱反复牵拉尚未完全长结实的胫骨结节,会导致这块软骨发生损伤、炎症,甚至撕裂,身体为了修复它,会过度增生骨组织,从而形成一个永久的、摸起来硬硬的隆起。这也就是为什么一开始没检查就判断他是这个病的原因,体征是比较典型的。
胫骨结节骨软骨炎有哪些症状特征?
第一,当小孩膝盖正下方约2-3厘米的骨性凸起处(胫骨结节)出现钝痛、酸痛或压痛。
第二,在跑、跳、上下楼梯、跪地或股四头肌用力收缩时,疼痛明显加重。停止运动、休息一段时间后,疼痛会明显减轻或消失。
第三,患处会轻微肿胀或隆起。如果反复发作,这个地方会形成一个坚硬、不移动的骨性隆起,不痛,但会一直存在。疼痛仅限于胫骨结节,膝关节内部(关节腔)通常没有积水或肿胀,这有助于和膝关节内部损伤(如半月板损伤)鉴别。
李宝军强调,胫骨结节骨软骨炎是一个自限性疾病,随着孩子骨骼成熟(约16-18岁,胫骨结节闭合),疼痛通常会自行消失。治疗的核心是控制症状和安全度过青春期,主要以保守治疗为主。
在疼痛急性期(疼得厉害时):需要休息,减少或停止引发疼痛的运动(跑、跳、深蹲);适当予以冰敷减轻局部水肿,比方在运动后或疼痛时,用毛巾包裹冰袋敷15-20分钟;在医生指导下,短期使用布洛芬等非甾体抗炎药来止痛消肿。
在缓解期和恢复期:可以做股四头肌拉伸,这是最重要的治疗。通过拉伸大腿前侧肌肉,减少对胫骨结节的牵拉。每天坚持做,比如站立位勾腿拉伸;运动时佩戴髌骨带(一种绑在髌腱上的带子),可以改变力的传导方向,有效缓解疼痛。核心(如股四头肌力量训练)和臀部力量训练:强化下肢整体稳定性,减少膝盖局部受力。疼痛期可以通过游泳、骑自行车(低阻力),这些运动不直接冲击胫骨结节,也可达到运动效果。
重返运动的标准是日常活动不痛,跳跃、跑步时也不痛,且大腿力量恢复。但需要牢记的是,逐步恢复运动强度,不可突然回到比赛状态。
当然,极少情况下需要手术治疗。如保守治疗超过12-24个月,疼痛依然严重影响生活;骨骺闭合后,骨性隆起巨大,跪地或穿紧身裤时剧痛;出现游离体或骨不愈合。
李宝军提醒,如果孩子(10-15岁,爱运动)出现了胫骨结节骨软骨炎,不用过度焦虑,这是青春期运动的“成长烦恼”,骨骼长好就自愈了。那个留下的硬骨性隆起,就当作是孩子热爱运动、挥洒汗水、美丽青春的“勋章”吧。需要警惕的是,如果孩子膝关节内部肿胀、关节卡顿、夜间痛醒或休息后完全不缓解,要及时看骨科或运动医学科医生,排除其他疾病。
来源:红网
作者:谌莎莎 何改生
编辑:戴丹
本站原创文章,转载请附上原文链接。
本文链接:https://health.rednet.cn/content/646048/65/15859494.html
