
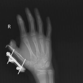
术后X线检查显示骨折复位良好
红网时刻新闻8月14日讯(通讯员 李洁)干冰作为冷藏保鲜剂,在日常生活中十分常见,然而,干冰如果使用不当,也会造成意外伤害。近日,湖南湘阴14岁的少年维维把干冰当玩具剧烈摇晃,却被突然爆炸的干冰炸伤拇指,在医院接受了手术治疗才保住手指。
炎炎夏日,维维的爸爸为了给一家人解暑降温,网购了一箱冰淇淋,箱子里用于保鲜的干冰被维维拿走当成玩具。让人没想到的是,在维维捏着密封袋反复摇晃后,干冰突然发生爆炸,孩子的右手当即被炸得鲜血直流,家人赶紧带他到当地医院包扎处理,随后转到湖南省人民医院手足显微外科救治。
接诊的医生发现,维维右手拇指虎口撕开一道约10cm的伤口,伤口深可见骨、肌肉组织断裂外露,同时伴有拇指骨折、关节脱位,拇指已完全失去知觉。手足显微外科团队立即为他开通绿色通道,急诊手术清创、复位脱位的拇指掌指关节、固定骨折、逐层修复肌肉,术后经过医护团队7天的精心护理,维维的拇指虽然保住了,但需持续进行康复训练恢复手部精细动作功能。病床上的维维懊悔不已:“早知道干冰这么危险,我绝对不会去玩。”经过恢复,维维已出院。
湖南省人民医院手足显微外科主任陈建民介绍,干冰的成分是固态二氧化碳,在常温下会气化膨胀600倍,如果装在密封袋里摇晃,随着气体不断增多,袋子承受不住压力就会爆炸,爆炸产生的威力是普通鞭炮的数倍,瞬间的杀伤力不容小觑。
陈建民主任提醒,干冰不是普通冰块,使用不当很危险,正确使用、储存干冰要注意:不要将干冰放入完全密封的容器中;处理干冰时,务必使用厚棉手套或隔热工具,避免冻伤;干冰应在通风良好的环境中存放,避免二氧化碳聚集导致窒息;干冰不是玩具,家长应妥善保管,教育孩子不要随意触碰;若被干冰冻伤或炸伤应立即就医。
来源:红网
作者:李洁
编辑:周曼
本站原创文章,转载请附上原文链接。
本文链接:https://health.rednet.cn/content/646942/58/15200336.html
