
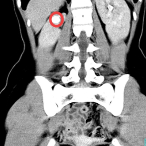
影像资料上可以看到女孩右侧多长了一个肾(红圈内)。
红网时刻新闻9月9日讯(通讯员 梁辉 李菊花)15岁的花季少女日夜与尿不湿相伴,背负着难以言说的身体秘密和沉重的心理负担。近日,湖南省人民医院泌尿外科专家团队揭开谜底,导致她常年漏尿的元凶,竟是多出的一个肾脏和“跑偏”的一根输尿管。
家住湖南岳阳的小悦(化名)自幼就有不明原因的持续性尿失禁,不得不与尿不湿相伴15年。辗转各地求医,均被告知只是“年龄小、自控能力差”。可随着年龄的增长,漏尿症状并未好转。2025年8月,家人带她来到湖南省人民医院泌尿外科宋伟主任医师处就诊,随即以“尿失禁”被收入泌尿外科二病区住院治疗。
入院完善相关检查发现,小悦右侧有2个肾盂和2根输尿管,其中一根输尿管的开口位于阴道壁,绕过了膀胱这个“蓄水池”,同时也避开了尿道“阀门”的管控,导致“水龙头”关不住,长期漏尿。
9月1日,宋伟团队成功为小悦实施后腹腔镜下右侧重复肾上位肾切除术,手术仅耗时2小时,出血只有10ml。小悦术后三天便顺利拔除导尿管,控尿功能恢复正常。
9月7日小悦康复出院,小悦的母亲激动地表示:“感谢宋主任和团队,解决了我们多年的心病!”
“重复肾的发病率约为0.7%,其中以女性更为多见。”宋伟主任表示,对于女性儿童,特别是自幼即存在持续性、无法用常见原因解释的尿失禁,且从未有过正常控尿史的,不应简单归咎于发育迟缓或功能性原因,而应警惕输尿管异位开口等先天性畸形并及早就医,以免延误治疗。
来源:红网
作者:梁辉 李菊花
编辑:周曼
本站原创文章,转载请附上原文链接。
本文链接:https://health.rednet.cn/content/646943/91/15267196.html
