
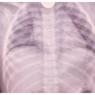
检查显示食管异物。
红网时刻新闻5月16日讯(通讯员 李俊)近日,长沙市妇幼保健院儿童消化营养专科门诊接诊了一位1岁患儿童童,据家长描述,童童不小心吞了一枚硬币,随后便出现了呕吐的症状。医生接诊后,完善了胸片+腹部平片,结果显示食管异物,以“食管内异物”收入儿内科。
急诊完善术前相关检查后行胃镜检查并食管异物取出术,手术过程顺利,患儿无不良反应。
消化道异物是指由于各种原因将一些不能被消化或体积过大的异物吞下,造成消化道梗阻、局部黏膜损伤、感染及溃疡形成,严重者可出现出血、穿孔、窒息甚至死亡。是临床常见的急症之一。
“常见的异物有硬币、电池、塑料笔帽、玩具、电动牙刷头、乳牙、枣核、别针、玻璃球等。”长沙市妇幼保健院儿内科主任龚晓辉提醒,儿童本性好奇、喜欢探索,安全防范意识较差,尤其是5岁及以下儿童在儿童消化道异物患者中占比高达 75%。
消化道存在异物会有什么症状?龚晓辉表示,硬币是儿童消化道异物中最常见的类型,多数情况下,硬币可顺利通过消化道,随粪便排出。但若硬币卡在食管狭窄处,孩子会出现吞咽困难,喝水、进食时感觉食物下咽不畅,甚至可能伴有饮水呛咳。
若异物尖锐或边缘不规则,一旦被吞入,危险性极高。这类异物可能划伤消化道黏膜,引起腹痛,孩子会哭闹不止,不愿进食。 严重时,可能导致出血、感染甚至穿孔,孩子会出现持续性剧烈腹痛、发热等症状,需紧急就医。
儿童消化道异物的紧急处理方法
发现异物后冷静应对:儿童吞食异物时,家长首先要保持冷静,避免慌乱。迅速观察孩子的状况,了解孩子吞下了什么异物,以及异物的大小、形状和材质。
及时就医很重要:发现后立即送往医院就医,在等待急救或前往医院的过程中,避免让孩子进食或喝水,以免加重症状。
向医生提供准确信息:向医生详细说明异物种类、吞食时间及症状。医生会根据异物的类型、大小、位置以及孩子的具体情况制定个性化的治疗方案。
对于不能及时自行排出体外的异物,消化内镜是首选治疗;若已出现严重并发症,或经评估内镜诊疗可能出现严重并发症,则需外科手术干预。
如何预防消化道异物?
将小物件如硬币、纽扣电池以及剪刀、牙签等尖锐物品存放在孩子接触不到的范围。
对于玩具,选择适合孩子年龄的,避免小零件玩具。婴幼儿玩玩具时,成人全程监护,时刻关注孩子动态。
小儿进食时,勿逗笑或呵斥孩子;玩耍或哭闹时,勿用食物诱哄孩子。
教育孩子识别危险,告诉TA们哪些物品不可以放入口中,增强其自我保护意识。
定期检查家中环境,确保没有松动的纽扣、小珠子等易脱落物品,减少潜在的危险源。
来源:红网
作者:李俊
编辑:周曼
本站原创文章,转载请附上原文链接。
本文链接:https://health.rednet.cn/content/646949/50/14962460.html
