红网时刻新闻11月28日讯(通讯员 熊伟)桡骨远端骨折是急诊创伤常见的骨折类型,尤其多见于合并骨质疏松的中老年人。生活中很多看似不起眼的摔倒,如:地滑摔倒、被地面障碍物撞倒、取高处物品时不慎踏空摔倒、上下台阶时绊倒、拖把绳或宠物牵引绳缠倒等,均是这类骨折的隐形诱因。
近日,一位62岁老年女性患者,就因为夜间起来上厕所,未注意地面的障碍物,导致失去重心不慎摔倒,伤后出现手腕疼痛、肿胀,发现自己手腕“歪了”,不能活动,遂第一时间来湖南省第二人民医院急诊外科就诊。
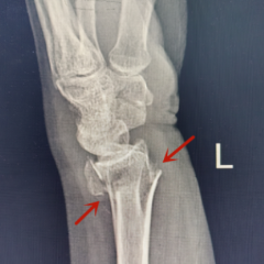
医院急诊医学科接诊后,通过询问病史及体查,考虑手腕骨折,遂立即给患者安排手腕照片检查,结果显示桡骨远端骨折,伴有明显移位。通过局部麻醉,精准手法复位及石膏外固定后,患者疼痛得到缓解,骨折复位效果满意。

左:骨折复位前;右图:手法复位后
为什么摔倒容易导致桡骨远端骨折?
据急诊医学科主任、主任医师周启兵介绍:桡骨远端是前臂最靠近手腕的部位,骨骼表浅、周围韧带多,且此处是手腕活动的“关键枢纽”,承重能力有限。当身体失衡时,手掌撑地是人类本能反应,此时上半身重量+摔倒冲击力会集中在桡骨远端,尤其手腕处于“背伸、桡偏”姿势时,骨折概率大幅提升;而老年人骨质疏松更是高危人群。
摔伤后发现手腕歪了,第一时间该怎么做?
医生提醒:若不慎摔倒后手腕肿胀、畸形、活动受限,或按压时剧痛,千万别揉、别强行掰正、别随意活动手腕——盲目揉搓会加重骨折移位,甚至损伤周围神经血管。
正确做法要牢记以下三点:立即用毛巾包裹冰袋冷敷(每次15-20分钟),减轻肿胀;用硬纸板、护腕临时固定手腕,悬吊避免晃动;尽快就医拍X光片,明确骨折类型,由医生判断是否需要手法复位或进一步治疗。
科学康复:分阶段科学锻炼
“复位+固定”还不是终点,科学康复才能让手腕功能完全恢复。在不同的恢复阶段,锻炼重点不同:
固定期(1-4周):避免手腕活动,但可活动手指(握拳、伸指)、肘关节和肩关节,促进血液循环,预防肌肉萎缩,注意观察石膏松紧度及末端手指感觉、颜色、血运等情况;
拆除固定后(4-6周):逐渐开始手腕屈伸、旋转练习,从被动活动(他人辅助)过渡到主动活动,避免暴力拉伸,循序渐进恢复关节活动度;
康复后期(6周后):加强手腕力量训练(如握弹力球),逐步恢复日常活动(如穿衣、吃饭),但避免提重物、剧烈运动,直到X光片显示骨折完全愈合。
来源:红网
作者:通讯员 熊伟
编辑:戴丹
本站原创文章,转载请附上原文链接。
本文链接:https://health.rednet.cn/content/646955/62/15503498.html
