红网时刻新闻10月14日讯(通讯员 陈治非)近日,长沙市第三医院(湖南大学附属长沙医院)普通外科二十五病室(肝胆外科)团队再次迎难而上,为一名87岁高龄、心脏功能严重不全的患者成功实施腹腔镜胆囊切除术,充分展现了医院多学科协作(MDT)在危重症患者救治上的综合实力。
87岁的彭爹爹因结石梗阻导致急性胆囊炎,引起局部腹膜炎明显伴发热,病情十分危急。
胆囊结石是指在胆囊内形成的固体结晶团块,当胆囊结石阻塞胆囊管或颈部,导致胆汁淤积和浓缩,刺激胆囊黏膜,同时继发细菌感染(如大肠杆菌),则引发了急性炎症反应,即急性胆囊炎。此时,以损伤小、恢复快、体表创口小为特点的腹腔镜胆囊切除术是治疗该疾病的“金标准”。
然而彭爹爹已有87岁高龄,身患多种基础疾病,心脏功能极差,左心室射血分数(EF值)低至30%(正常值>55%),手术麻醉风险极高。

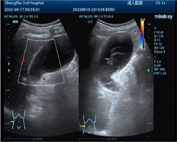
术前超声

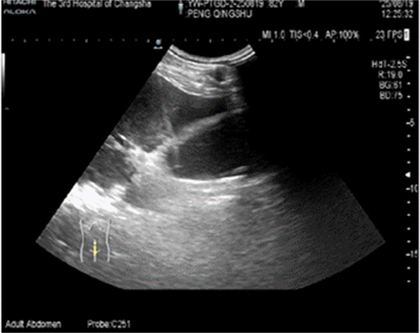
穿刺造瘘术中超声
入院紧急评估及权衡后,医护团队决定行超声引导下经皮肝胆囊穿刺造瘘术引流出脓性胆汁,为老人缓解症状。可好景不长,穿刺几天后由于胆汁浓稠、胆泥形成导致引流管不通畅,彭爹爹再次出现发热及右上腹疼痛,引流量减少的情况。
此时医护团队陷入两难境地:不进行手术,老人随时面临着胆囊穿孔甚至感染性休克的生命危险;若进行手术,老人脆弱的心脏难以耐受麻醉及手术创伤,极有可能出现心衰、恶性心律失常等危及生命的并发症。
医院迅速组织肝胆外科、心血管内科、麻醉科、重症医学科、呼吸与危重症医学科等多学科诊疗团队,对彭爹爹进行了全面深入的术前评估,充分研判手术必要性与风险;肝胆外科副主任(主持工作)唐定决定迎难而上,为彭爹爹实施腹腔镜胆囊切除术,并为其量身定制了详尽的手术方案、应急预案以及精细化的围手术期管理策略。

在多学科诊疗团队的通力协作与无缝衔接下,彭爹爹的手术非常成功,并平稳度过了术后危险期,未出现任何严重并发症,恢复良好。出院前,彭爹爹一家特意向科室团队送上锦旗表达感谢。
此次高难度手术的成功,不仅是普通外科二十五病室团队以“微创老年肝胆外科”为发展特色的生动呈现,更是医院多学科诊疗协作综合实力的有力见证。
对于高龄、高危患者群体来说,凭借严谨的术前评估、周密的方案准备、精湛的手术技术和全方位的围手术期管理,许多曾经被视为“手术禁区”的医学难题得以成功突破,也为更多罹患复杂疾病的老年群体带来了生的希望和高质量生活的可能。
来源:红网
作者:陈治非
编辑:甘伟萍
本文为健康频道原创文章,转载请附上原文出处链接和本声明。
本文链接:https://health.rednet.cn/content/646954/58/15351677.html
时刻新闻