红网时刻新闻10月24日讯(通讯员 朱颗粒 郭发)谷女士(化名)在七年前因脑膜瘤接受过手术,近一个月来,她再次被头晕不适所困扰。经过检查,结果印证了担忧:脑膜瘤复发了,而且这次的位置更为凶险——它侵犯了大脑核心的“生命河流”——矢状窦。幸而,近日在湖南省第二人民医院(省脑科医院)神经外科二病区,经多学科协作,成功拆除颅内“炸弹”。
什么是脑膜瘤?为何还会“复发”?
湖南省第二人民医院神经外科二病区主任医师李鑫介绍,如果把大脑比喻成一个极其精密的“司令部”,而这个司令部被层层保护着,最内层紧贴大脑的保护膜,叫做“脑膜”。脑膜瘤,就是从这个保护膜上长出来的肿瘤。当然,绝大多数脑膜瘤是良性的,也就是说,它不像癌症那样会肆意扩散到全身。它的生长方式通常是“安营扎寨”,缓慢地挤压大脑。
那为什么良性肿瘤手术后还会复发呢?主要有两个原因:第一,“斩草”难“除根”:有些脑膜瘤像树根一样,与周围的脑组织、血管或重要的静脉窦(比如矢状窦)紧密地缠绕在一起。为了不损伤关键功能,医生在第一次手术时,可能无法百分之百切除所有微小的肿瘤细胞。第二,生长的“土壤”还在:脑膜是遍布整个颅腔的,只要生长肿瘤的“土壤”环境还在,理论上就有复发的可能。
为何这次手术难度及风险极大?关键在“矢状窦”
谷女士这次复发的肿瘤,侵犯了矢状窦,这正是本次手术最大的挑战所在。 矢状窦是什么?它是大脑最深部、最核心的一条大型静脉血管,可以比作大脑最主要的“排水总管”或“生命河流”。大脑使用后的静脉血,绝大部分都汇集到这里,最终流回心脏。
肿瘤侵犯矢状窦,意味着什么? 风险一:大出血。手术中一旦损伤这条“大河”,将会引发难以控制的大出血,危及生命。风险二:脑功能损伤。如果为了切除肿瘤而不得不结扎或修补矢状窦,可能导致大脑静脉血液回流受阻,引发严重的脑水肿、脑梗死,甚至导致患者偏瘫、昏迷。 正因为如此,侵犯矢状窦的脑膜瘤手术,一直被神经外科视为“生命禁区”之一,对主刀医生的技术、经验和团队配合都是极致的考验。
多学科协作,制定最优“作战”方案
面对如此复杂的病情,神经外科二病区启动了“多学科会诊(MDT)” 模式。 这就像一个“专家智囊团”,包括:神经外科医生,主导手术方案的制定;医学影像科医生,精准解读CT、MRI,像侦察兵一样标清肿瘤与血管的每一处纠缠;神经内科医生,评估患者术前的脑功能状态;麻醉科医生,规划如何在术中稳定生命体征,控制出血;输血科医生:确保手术用血充足。
专家们从各自专业角度出发,反复推演,共同为谷女士量身定制了一个详尽、稳妥且备有多种应急预案的手术方案。
8小时“拆弹”,有惊无险

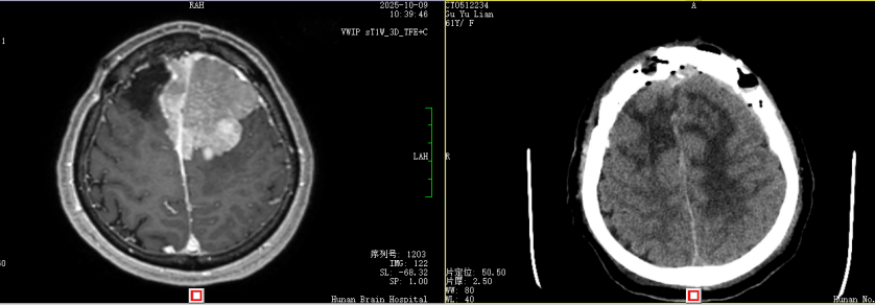
患者术前术后影像对比
准备万全后,谷女士被推入了手术室。在显微镜下,手术团队如同在蛛网般的神经与血管中穿行的“微雕大师”,小心翼翼地分离着肿瘤组织。最终,经过8小时的奋战,团队成功切除了复发的肿瘤,并完好地保护乃至修复了被侵犯的矢状窦——这场高难度的“拆弹”行动,终于“有惊无险”地完成了。
李鑫表示,对于脑膜瘤这类疾病,即使复发,也绝非绝境。现代医学的进步,特别是多学科协作(MDT)模式和显微神经外科技术的发展,已经让越来越多的“不可能”变为“可能”。
来源:红网
作者:朱颗粒 郭发
编辑:戴丹
本文为健康频道原创文章,转载请附上原文出处链接和本声明。
本文链接:https://health.rednet.cn/content/646954/68/15377268.html
时刻新闻