红网时刻新闻3月17日讯(通讯员 朱文青)近日,18岁的曾琳琳(化名)在家跳操时突然出现右下腹持续性剧烈疼痛,立即前往长沙市中心医院(南华大学附属长沙中心医院)妇科就诊,彩超报告显示,她的下腹部藏着一个直径达12厘米的巨大肿块,更令人震惊的是,肿块内部疑似有牙齿和骨骼的影像!
长沙市中心医院妇产科三区主任魏馨在详细了解了琳琳的情况后,给出了初步诊断:“根据检查结果,你这种情况极有可能是一种名为‘卵巢畸胎瘤’的肿瘤。这是一种常见的卵巢生殖细胞肿瘤,瘤体内常包含头发、牙齿、骨骼甚至油脂等人体组织成分,但绝大多数是良性的。”魏馨告知琳琳,由于肿瘤体积巨大,且存在扭转导致腹痛的风险,必须尽快手术切除。
一听说要手术,年仅18岁的曾琳琳非常恐惧,她担心手术的疼痛,也害怕腹部会留下明显的疤痕影响美观。面对琳琳的担忧,魏馨和团队经过充分的术前评估与讨论,为她量身定制了“经脐单孔腹腔镜手术”的治疗方案。手术由魏馨主刀,凭借精湛的技术和丰富的经验,团队通过这唯一的肚脐切口,成功将直径12厘米的畸胎瘤完整无损地剥离并取出。术后清点肿瘤内容物时,连医护人员都感到惊讶:里面竟然包含了24颗形态各异的牙齿,以及最大直径接近5厘米的骨骼组织。

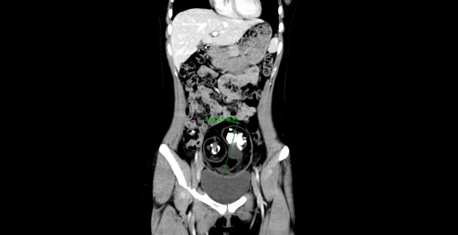
CT检查示下腹部有一直径约12厘米的肿块

术中清理出来的肿瘤内容物(含牙齿、骨骼)
术后,琳琳恢复迅速。最让她惊喜的是,伤口隐藏在肚脐深处,腹部皮肤光滑如初,几乎看不到任何手术痕迹。魏馨团队用一把“隐身”的手术刀,不仅为她解除了病痛和隐患,更守护了她身体的美观与自信。
“对于琳琳这样年轻的患者,我们的目标不仅是治愈疾病,更要守护她未来的生活质量。”魏馨主任介绍,传统腹腔镜手术需要在腹部打3—4个0.5—1.0cm切口,且如果肿瘤较大取出困难还需要延长切口;而经脐单孔手术的切口2cm左右,所有操作器械都只需通过肚脐这一个人体天然的褶皱部位进入,且更有利于取出巨大肿瘤。
经脐单孔手术的优势
1.极致美观,近乎无痕:手术切口完美隐藏在肚脐内,愈合后疤痕几乎看不见,完全满足了年轻患者对腹部美观的极高要求。
2.取物方便,安全彻底:对于卵巢肿瘤切除,术中完整剥除及取出,避免囊内物质污染腹腔至关重要。单孔手术能将肿瘤完整取出,极大地降低了种植和复发的风险。
3.创伤更小,恢复更快:单一微小切口减少了腹壁的损伤和术后疼痛,患者能更快下床活动,加速康复。
什么是畸胎瘤?
“卵巢畸胎瘤是一种来源于生殖细胞的肿瘤,并非‘怪胎’,绝大多数为良性(成熟性畸胎瘤)。早期通常无症状,常在体检中偶然发现。当肿瘤长大(通常超过5cm)或发生扭转、破裂时,会引起腹痛,需手术处理。”魏馨提醒,对于青春期少女出现月经不规律,不能简单地认为是“还没发育好”。如果月经初潮后超过2~3年周期仍极不规律(如周期短于21天或长于45天),或突然出现持续性的腹痛,要警惕这是身体发出的警报,需及时就医检查,排除器质性病变。
来源:红网
作者:朱文青
编辑:李雅婷
本文为健康频道原创文章,转载请附上原文出处链接和本声明。
本文链接:https://health.rednet.cn/content/646047/51/15772792.html
时刻新闻