红网时刻新闻4月28日讯(通讯员 陈樱曼)近日,一位来自中国澳门的患者黎女士,在中南大学湘雅医院神经外科李学军教授团队的精心救治下,成功接受了高难度的颅内多发脑膜瘤全切除手术。团队不仅完整切除了她颅底直径达7.4厘米的巨大肿瘤及左额部另一枚肿瘤,更在毫米级精细操作下,最大程度保护了她的重要神经功能。如今,黎女士恢复良好,无任何神经功能障碍,已顺利康复出院,重获健康与希望。
黎女士近年来一直被记忆力下降、嗅觉减退、头痛头晕等症状困扰,生活受到严重影响。早在四年前,这些异常信号就曾出现,但并未引起足够重视。直到症状不断加重,多方诊治后她才在当地医院接受头部MRI检查,结果令人震惊:颅底竟藏着一枚巨大肿瘤。怀着对健康的渴望与对高水平医疗的信任,黎女士辗转打听,最终慕名来到中南大学湘雅医院,找到神经外科李学军教授团队。
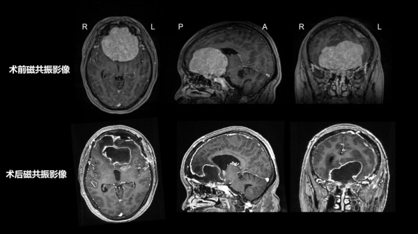
入院后,MRI和CT检查进一步揭示了病情的复杂性:前颅底肿瘤体积达7.4cm×7.3cm×7cm,额叶、下丘脑、穹隆、三脑室及双侧脑室严重受压,肿瘤甚至向筛窦、鼻腔内生长;左额部还有一枚1.9cm×1.5cm×1.3cm的肿瘤。CT显示前颅底骨质已被破坏,双侧大脑前动脉被肿瘤包绕,双侧颈内动脉及大脑中动脉也受压移位。

面对病变巨大、位置深在、紧邻重要神经和血管、术后脑脊液漏风险高等多重挑战,李学军教授团队没有丝毫懈怠。科室组织了术前病例讨论,决定一期手术切除多发脑膜瘤,同时行颅底重建。针对术中可能出现的出血、感染、神经损伤等风险,团队制定了详尽的应急预案,从术前评估到术后监护,每一个环节都做到心中有数、手中有策,为手术安全筑牢了坚实保障。
2026年4月2日,在麻醉科唐朝辉教授实施全麻气管插管后,由李学军教授主刀,谢源阳副主任医师担任第一助手,蒋念主治医师担任第二助手,陈子衍、张力、杨皓迪医师协助,为黎女士成功实施了前颅底及左额部病变切除术。团队巧妙设计一个切口,同时显露两个肿瘤,秉持“毫米级精细操作”原则,逐层分离肿瘤组织,谨慎剥离与神经、血管粘连的部位,精准处理肿瘤基底硬脑膜。
两小时的显微镜下精细操作,不仅彻底清除了病灶,更最大程度减少了对正常脑组织的牵拉与损伤,从根源上降低了复发风险。同时,团队还为她完成了细致完美的颅底修复重建,为后续康复打下坚实基础。
术后,在唐运姣护士长带领的护理团队精心照护下,黎女士逐步康复。她没有出现任何神经功能缺损症状,术前的头痛、乏力、记忆力差等不适明显好转,各项指标恢复正常,整体康复效果远超预期。“千里濠江赴湘江,毫厘之处见仁心”,患者及家属对治疗效果和医护服务高度认可,满怀感激地踏上归途。
此次高难度手术的成功,充分彰显了湘雅医院神经外科扎实的专科技术实力、成熟的显微外科手术水平以及完善的围手术期诊疗体系。这既是李学军教授团队深耕临床、精进疑难病例诊疗能力的又一优质成果,也体现了多学科协作、全流程保障的现代医疗理念。

李学军教授借此提醒广大患者,出现记忆力下降、嗅觉减退、头痛头晕等症状时,应及时就医。颅内肿瘤遵循“早发现、早诊断、合理处理”原则,绝大多数可以获得良好预后。李学军教授团队在复杂颅底肿瘤(包括垂体腺瘤、听神经瘤、脑膜瘤、胆脂瘤、颅咽管瘤等)和中枢神经系统恶性肿瘤(包括胶质瘤、转移瘤、血管周细胞瘤、髓母细胞瘤等)的显微手术治疗方面拥有丰富经验,致力于为更多脑肿瘤患者带来生命的希望。
来源:红网
作者:通讯员 陈樱曼
编辑:甘伟萍
本文为健康频道原创文章,转载请附上原文出处链接和本声明。
本文链接:https://health.rednet.cn/content/646048/62/15876963.html
时刻新闻