红网时刻新闻9月24日讯(通讯员 孙红霞 朱文青)颈肩疼痛怎么办?不少人在出现颈肩痛时会简单地认为是颈椎病或肩周炎引起,然后自行诊断或不做处理。近日,长沙市中心医院(南华大学附属医院)脊柱外科就遇到一位自认为患上肩周炎的患者,自我治疗五个月无效果后才来医院就诊。经医生诊断,患者实际为椎管内肿瘤,其早期症状与肩周炎极为相似,但后果却严重得多。那要如何正确区分二者症状?医生教你三个辨别方法。
患者张淮(化名)55岁,五个月前开始出现颈肩部疼痛,左上肢及右下肢还有麻木和无力感。张淮认为自己患上了肩周炎,开始用贴膏药、民间偏方来治疗,但症状始终未见好转。在家人的催促下,张淮来到长沙市中心医院脊柱外科一区就诊。医生检查后发现,张淮颈胸段椎管内均存在占位性病变,也就是长了肿瘤!且脊髓已被挤压成线形。

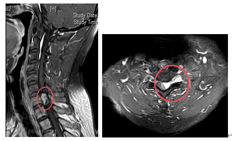
术前核磁检查颈胸段椎管内存在占位性病变,且脊髓已被挤压成线形。
若不尽快手术切除肿瘤,随着肿瘤持续增大,脊髓受压程度会不断加重,进而造成不可逆的神经损伤,最终甚至可能导致四肢瘫痪。接下来,脊柱外科一区主任、主任医师许宇霞带领团队成功为张淮实施了高难度颈胸段椎管内肿瘤切除术。术中快速病检提示肿块为“神经鞘瘤”,这类肿瘤多为良性肿瘤,手术切除后预后良好,复发率低。术后张淮恢复良好,原有颈肩疼痛消失,左上肢麻木无力及右下肢行走无力等症状均显著改善。

术后复查核磁检查,颈胸段椎管内肿瘤已切除干净。
许宇霞介绍,近年来,在临床的门诊中,几乎每年都会遇到这样的病例。当出现颈肩疼痛和手臂麻木时,很多人第一反应会自我诊断为“肩周炎”或“颈椎病”,并尝试按摩、贴膏药或寻求偏方。然而,有一种危险的疾病——颈椎肿瘤,其早期症状与肩周炎极为相似,但后果却严重得多。肿瘤引发的肩颈痛与普通的肩颈痛有何不同?医生教你正确区分二者。
1.疼痛更剧烈,难以缓解:当颈椎椎管内有肿瘤时,肿瘤可能会压迫脊髓或神经根,引发肩部疼痛。这种疼痛通常比普通颈椎病更剧烈,而且不会因为改变姿势而缓解。
2.手发冷:患者可能会感觉手发冷,这是因为肿瘤影响了神经传导,导致手部血液循环变差。
3.走路“飘”:如果肿瘤压迫到脊髓,可能会影响神经信号的传递,导致下肢肌肉的协调性和力量控制出现问题。患者一开始可能会觉得走路有点“飘”,但随着病情发展,可能会出现行走困难、容易摔倒等情况。而普通颈椎病在早期很少会对走路产生明显影响。
许宇霞同时提醒,椎管内肿瘤容易被误诊,“肩颈痛”当成肩周炎治疗有风险。
1. 治疗原则完全相反:肩周炎鼓励在一定疼痛范围内活动关节,而颈椎肿瘤若进行不当按摩、推拿或暴力拉伸,可能直接导致肿瘤出血、
脊髓急性受压,甚至引发瘫痪,造成不可逆的神经损伤。
2. 偏方和膏药无效:颈椎肿瘤是器质性占位病变,任何外敷药物或手法都无法消除肿瘤,只会掩盖病情,错过最佳手术时机。
3. 预后差异巨大:肩周炎终会好转,而颈椎肿瘤的治疗是在与时间赛跑。越早手术,解除对脊髓和神经的压迫,恢复的可能性就越大。
许宇霞表示,一旦出现“颈肩痛+手臂麻木无力”的联合症状,且症状进行性加重,切勿当肩周炎简单治疗,应前往正规医院的脊柱外科就诊,结合影像学资料明确病因,才能得到最恰当的治疗,避免延误病情。
来源:红网
作者:孙红霞 朱文青
编辑:李雅婷
本文为健康频道原创文章,转载请附上原文出处链接和本声明。
本文链接:https://health.rednet.cn/content/646943/68/15307826.html
时刻新闻