红网时刻新闻10月30日讯(通讯员 小姿)脑干作为人体的“生命中枢”,掌管呼吸、心跳、血压等基本生命活动,一旦出血,即便量少也可能危及生命。据统计,脑干出血量在3毫升以下死亡率约70%,超过5毫升死亡率可达90%,若出血量达到10毫升以上,生存几率极为渺茫。近日,长沙泰和医院神经外科团队成功救治一名脑干出血量达8毫升的患者,展现了医院在危急重症救治领域的专业水平。

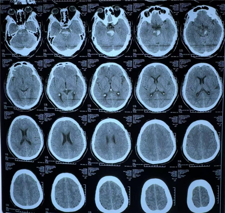
术前CT:脑干出血
日前,39岁的吴先生(化名)突发头晕后意识丧失,被紧急送至长沙泰和医院。入院时,患者已陷入昏迷,自主呼吸停止,瞳孔缩小且光反射消失。经紧急气管插管维持呼吸,并完成头部CT检查,确诊为脑干出血,出血量约8毫升,病情十分危重。

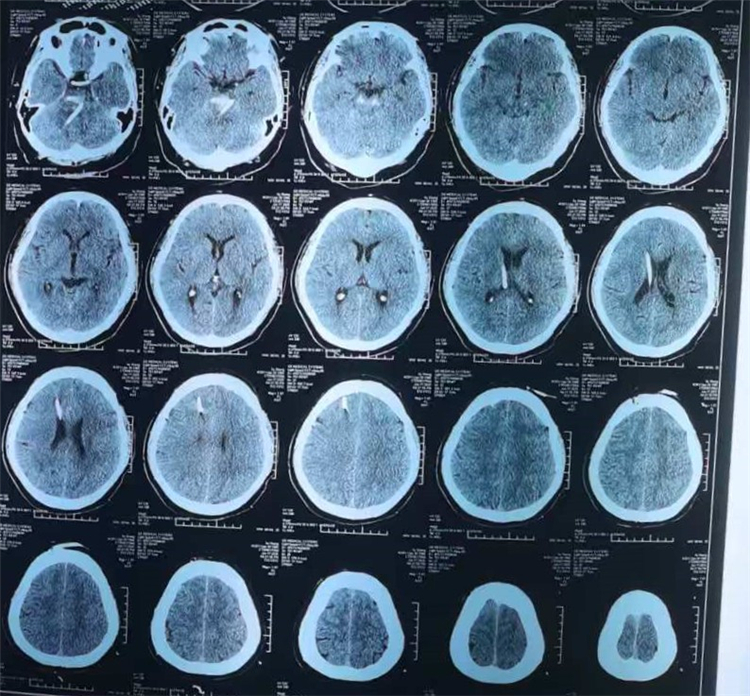
医院立即启动卒中救治绿色通道。神经外科团队迅速评估病情,制定周密手术方案。脑干区域手术素有“生命禁区”之称,手术风险极高,任何损伤都可能造成不可逆的后果。在取得家属知情同意后,神经外科联合麻醉科、放射科等多学科协作,为患者实施“立体定向颅内血肿穿刺引流术+脑室钻孔引流术”。手术过程顺利,术后患者逐渐恢复意识,右侧肢体可遵嘱活动,病情趋于平稳。

术后复查CT:脑干血肿全部清除
经过系统治疗与精心护理,吴先生目前已康复出院。该病例的成功救治,不仅得益于患者自身的顽强意志与家属的支持,也体现了医院多学科协作的优势与神经外科团队的技术实力。
【相关科普】
脑干出血常见症状包括头痛、恶心呕吐、意识障碍、肢体麻木、言语及吞咽困难等。一旦出现相关症状,须立即就医,发病后6小时内干预可显著提高生存率。
高血压是脑干出血的主要病因,尤其常见于长期血压控制不佳的患者。此外,长期服用抗凝或抗血小板药物、患有血液疾病、存在脑血管畸形,以及有吸烟、酗酒、熬夜、高盐饮食、情绪激动等不良生活习惯的人群,患病风险也相对较高。
如遇疑似脑干出血患者,应保持冷静并立即拨打120;减少不必要的搬动,保持患者平卧、头部稍抬高并偏向一侧,防止呕吐物导致窒息;如发生心脏骤停,应立即进行心肺复苏;急救人员到达后,应清晰说明患者病史及发病情况,为抢救争取时间。
来源:红网
作者:通讯员 小姿
编辑:李茜
本文为健康频道原创文章,转载请附上原文出处链接和本声明。
本文链接:https://health.rednet.cn/content/646954/74/15392379.html
时刻新闻