红网时刻新闻11月11日讯(通讯员 小姿)近日,长沙泰和医院心内科江斌主任团队在宁波大学附属第一医院储慧民教授与中南大学湘雅医院谢启应教授的指导下,应用T-LOVE术式为一位88岁高龄、高卒中风险的房颤患者顺利完成左心耳血栓封堵术。术后患者各项评估指标理想,恢复良好。

患者为88岁女性,患有房颤5年余,长期口服抗凝药物仍时有胸闷不适,并伴有左心耳血栓、脑梗史及心脏扩大等危险因素。经评估,其CHA2DS2-VASc评分为5分,HAS-BLED评分为2分,提示卒中风险高,而传统抗凝治疗存在出血风险。患者及家属为保障生活质量,不愿长期接受抗凝治疗,使治疗面临困难。

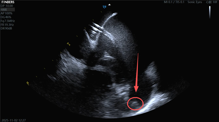
超声提示患者左心耳内血栓形成。
江斌主任团队联合多学科进行深入评估,并与家属充分沟通后,决定实施心腔内超声(ICE)引导下的左心耳带栓封堵术(T-LOVE)。该术式通过ICE实时监测手术全程,指导封堵器精准放置,将血栓完整封堵于左心耳内部,从而降低血栓脱落引发脑卒中的风险。

左心耳血栓。
手术在局部麻醉下进行。团队在DSA及ICE引导下精准穿刺房间隔,清晰观察到左心耳内10mm×6mm的血栓。术中,团队评估左心耳形态与大小,选定合适的封堵器,顺利完成封堵操作。经多角度评估,封堵器位置形态良好,符合PASS原则,牵拉试验及多普勒扫描显示封堵完全,无残余分流,手术成功。

封堵器展开,左心耳血栓封堵手术成功。
江斌主任介绍,T-LOVE术式即ICE指导下的左心耳血栓封堵术,其核心技术“三轴六向法”有助于精准选择封堵器并评估效果,同时实现极低射线剂量和零造影剂,达到“绿色”左心耳封堵目标。该术式为无法耐受抗凝治疗或高出血风险的房颤患者提供了新的治疗选择。
此次手术是长沙泰和医院在结构性心脏病介入治疗领域取得的一项重要进展,体现了医院处理高龄、高危、复杂病例的医疗技术能力。心血管内科团队表示,将继续秉持创新理念,不断提升诊疗水平,为患者提供更安全有效的医疗服务。
【相关科普】
房颤为何会导致脑梗?
房颤时心耳功能减弱,血液易淤滞形成血栓,血栓脱落后随血流进入脑动脉可能引发脑栓塞。房颤患者脑梗风险比常人高5倍以上,且病情往往更严重。
左心耳封堵术有何优势?
左心耳封堵术能有效减少血栓栓塞,预防脑卒中,适用于不宜长期抗凝的房颤患者。该手术具有住院时间短、恢复快、术后无需终身抗凝等优点。
来源:红网
作者:通讯员 小姿
编辑:李茜
本文为健康频道原创文章,转载请附上原文出处链接和本声明。
本文链接:https://health.rednet.cn/content/646955/54/15420382.html
时刻新闻