红网时刻新闻4月17日讯(通讯员 余杨)近日,湖南省妇幼保健院超声医学中心成功为一例罕见的“宫内外复合妊娠”患者作出精准诊断。该患者为通过试管婴儿技术受孕的早孕期女性,超声检查在确认宫内妊娠的同时,及时发现宫外孕囊,为后续救治赢得了宝贵时间。

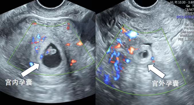
李女士宫内外双孕囊所在位置。
患者李女士因生育难题接受试管婴儿技术,成功妊娠。在一次常规早孕期超声检查中,该院超声科副主任、主任医师张军辉探及宫腔内孕囊及胎芽,胎心搏动有力。在问诊中得知李女士移植了两枚胚胎后,张军辉对双侧附件区进行细致扫查,于右侧附件区发现孕囊样结构,经多角度、多切面反复探查,精准诊断为“宫内外复合妊娠”。
“宫内外复合妊娠”是一种罕见且高危的病理妊娠,即宫内妊娠与宫外妊娠同时存在。宫外孕囊随胚胎生长一旦破裂出血,将危及孕妇及宫内胎儿生命安全。
在该诊断指引下,湖南省妇幼保健院妇科团队为李女士制定了个性化手术方案,采用腹腔镜微创手术精准切除宫外孕囊。术后,李女士恢复顺利,未出现并发症。最新超声复查结果显示:宫内胎儿发育正常,妊娠约8周。
张军辉主任借此提醒,早孕期超声检查至关重要,不仅能确认宫内妊娠、评估胚胎发育情况,更能及时排查宫外孕等潜在风险,为母婴安全筑牢第一道防线。
来源:红网
作者:余杨
编辑:李雅婷
本文为健康频道原创文章,转载请附上原文出处链接和本声明。
本文链接:https://health.rednet.cn/content/646048/51/15849859.html
时刻新闻