红网时刻新闻4月15日讯(通讯员 毛雯凌)近日,湖南省第二人民医院(湖南省脑科医院)上演了一场跨越高龄与重症的生命救援——86岁的李奶奶颅内长有“拳头”大小的肿瘤,合并房颤、心肾功能不全、帕金森病、高血压等多种基础疾病,意识一度模糊,生命垂危。在医院多学科团队(MDT)的协同作战下,湖南省先进工作者、医院脑血管神经外科主任刘坤团队成功实施高难度肿瘤切除术,帮助老人重获新生。

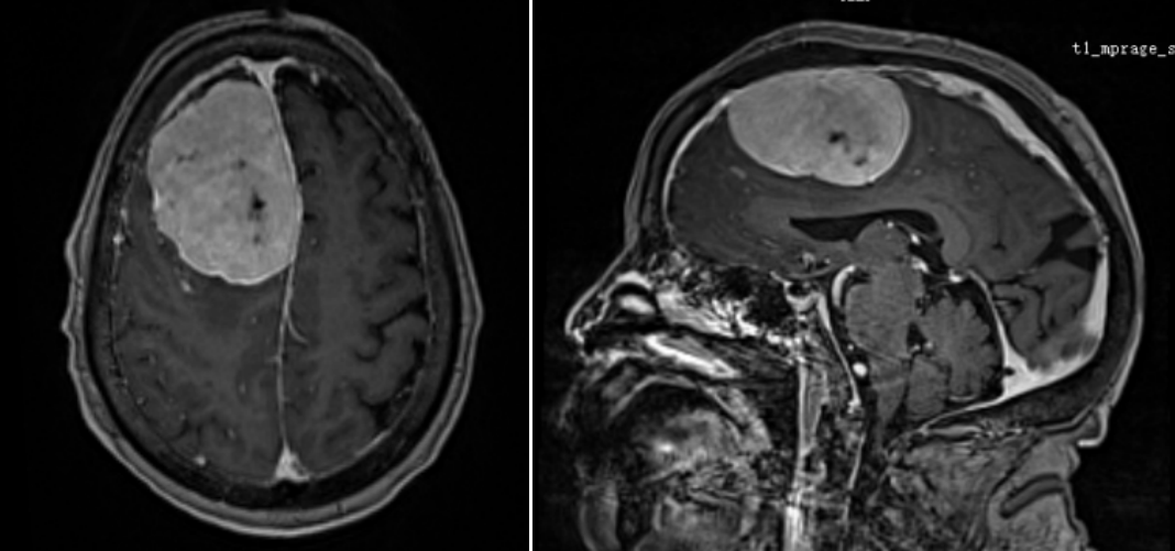
患者颅内肿瘤影像
时间回溯到年前,李奶奶被查出颅内肿瘤,且肿瘤已侵犯矢状窦、颅骨及头皮。由于年事已高,又身患多种慢性病,家属带着她辗转北京、上海多家医院求医,却均因手术风险过高被婉拒——多家医院认为,老人高龄叠加多重基础病,且长期使用抗凝药物,手术及麻醉过程中随时可能出现致命并发症,手术难度与风险远超常规。
一个月前,李奶奶病情突然恶化,出现严重食欲减退、意识模糊等症状,家属抱着最后一丝希望,将她送到湖南省第二人民医院脑血管神经外科就诊。入院检查显示,老人右额窦旁的巨大脑膜瘤已严重挤压脑组织,生命体征极不稳定。
“不手术,肿瘤持续压迫大脑,意识障碍会不断加重,最终危及生命;手术,86岁高龄加一身合并症,任何一个环节出问题都可能致命。”刘坤坦言,这是一台“刀尖上的手术”,也是一场与死神的较量。
面对这个“难啃的硬骨头”,刘坤第一时间启动多学科会诊机制,邀请心内科、肾内科、呼吸科、麻醉手术科、重症医学科等多个科室专家联合会诊,反复研判病情、排查风险点,结合老人的身体状况制定了周密的围手术期方案,最终确定在保障各器官功能稳定的前提下,实施肿瘤切除术。
手术当日,刘坤带领团队开展矢状窦巨大脑膜瘤切除术及脑膜、颅骨修补术。由于肿瘤血供丰富,且与大脑重要功能区紧密相连,操作容不得丝毫差错。术中,手术团队如同“排雷”般精细操作,小心翼翼地分块切除肿瘤,既要确保肿瘤全切以解除脑组织压迫,又要精准保护周围神经血管,避免造成不可逆损伤。经过2个小时的紧张奋战,手术顺利完成。
术后,护理团队针对老人高龄、并发症多的特点,量身定制个体化护理方案,24小时日夜守护,严密监测生命体征、精准调控用药,细致做好康复指导。在医护人员的精心照料下,李奶奶的意识逐渐清晰,肢体活动能力慢慢恢复,脸上重新露出了久违的笑容。出院时,家属紧紧握住刘坤的手,热泪盈眶地说:“是你们用精湛的医术,给了我母亲第二次生命!”

家属特意送来锦旗表达感谢
“高龄并非手术的绝对禁忌,关键在于精准的术前评估和多学科的协同发力。”刘坤表示,像李奶奶这样的复杂病例,需要多学科像“航空母舰战斗群”一样协同作战,才能为高龄重症患者撑起生命保护伞。
来源:红网
作者:毛雯凌
编辑:戴丹
本文为健康频道原创文章,转载请附上原文出处链接和本声明。
本文链接:https://health.rednet.cn/content/646048/59/15843701.html
时刻新闻