红网时刻新闻10月11日讯(通讯员 何改生)深受膝关节疼痛、活动限制20年,63岁的张阿姨(化名)3年前无可奈何接受右膝关节置换,如今再次选择左膝关节置换,期待“新关节”带给她新生活。10月12日世界关节炎日来临,湖南省第二人民医院骨关节运动医学科主任李宝军主任医师提醒,重视关节不适信号,尽早就医干预,减缓疾病进展。天气渐冷,更要做好关节的防寒保暖,加强日常保护与锻炼。
张阿姨家住长沙,体重170斤,最高时有近200斤。还经常干农活和家务,一蹲一站就是几个小时不休息。然而,近20年来,张阿姨膝盖疼痛逐渐加重,腿也变成了“O”形腿,走起路来是“鸭子步”,连身高也“缩”了五六厘米。令她最烦恼的是,上厕所蹲不下、无法上下楼梯,稍微走一段路腿就疼痛厉害,脚伸不直连日常穿裤子都不方便,严重影响日常生活。曾经吃过药、打过针、敷过膏药、做过理疗,治疗效果都不理想。
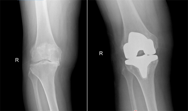
2022年10月,张阿姨在湖南省第二人民医院骨关节运动医学科诊断为双膝重度骨性关节炎,并接受右膝关节置换手术。出院后主治医生积极微信与患者保持联系,指导康复训练,定期复查,右膝关节功能恢复良好,也不痛了。但是左膝关节问题同样明显,跛行严重,为进一步提高生活质量,解决疼痛问题,2025年9月,张阿姨再次来到湖南省第二人民医院骨关节运动医学科,于近日顺利接受左膝关节置换。术后第一天,即可在助行器辅助下下地行走。目前,张阿姨正在进一步康复中。

右膝术前术后对比

左膝术前术后对比
骨关节科主任李宝军主任医师介绍,膝骨关节炎,简单来说,就像我们膝盖里的“轴承”老化磨损了。我们的膝关节由股骨、胫骨、髌骨以及关节软骨、韧带、半月板等结构组成,关节软骨就像 “轴承” 上的保护层,能减少骨头之间的摩擦,让关节灵活活动。
随着年龄增长,关节软骨会慢慢退化。再加上一些外在因素,比如张阿姨长期干重活、体重超标,膝盖长时间承受过大压力,关节软骨的磨损速度会更快。当软骨磨损到一定程度,骨头就会直接“硬碰硬”,进而引发关节周围的炎症,这就是膝骨关节炎。
如若患上膝骨关节炎,膝盖会出现疼痛、肿胀、僵硬等症状。就像张阿姨一开始只是偶尔膝盖疼,后来疼痛越来越频繁、越来越严重,甚至影响正常行走。而且,由于关节软骨磨损不均匀,关节受力失衡,还可能导致腿型发生改变,比如变成“O”形腿,这也是张阿姨出现 “鸭子步”的重要原因。
李宝军主任医师指出,膝骨关节炎治疗,应遵循阶梯化治疗理念。医生会根据疾病阶段、患者个体情况制定合适的治疗方案。通常来说,治疗手段包括:
第一基础治疗。包括合理运动、健康生活方式、辅助器械的使用、物理治疗等。
第二药物治疗。包括局部药物治疗、全身镇痛药物治疗、关节腔内注射药物、局部激素注射等。
第三手术治疗。包括微创软骨修复、截骨矫形、单髁和全膝关节置换等手术治疗。膝关节置换术简单来说,就是把受损的膝关节表面的软骨和部分骨头去掉,换上人工制造的关节假体,就像给老化的 “轴承”换一个新的。这种手术能有效缓解疼痛,恢复关节功能,让患者重新正常行走,提高生活质量。
李宝军主任医师提醒,膝骨关节炎是一种逐渐进展的慢病,退行性病变的过程无法逆转。因此,如果发现自己出现膝关节疼痛、僵硬、活动受限、肿胀、弹响等症状,一定要及时去医院就诊,让医生明确诊断。早发现、早干预,才能更好地控制病情。
膝骨关节炎虽然常见,但并不是不可预防。建议在生活中多注意以下五点,有效降低患病风险。
第一控制体重:60%的膝髋骨关节炎和体重过重有关,长期超重会加大膝关节承受的负荷,一旦超重,要积极减肥,控制体重。
第二改变习惯:尽量避免长时间蹲跪、爬楼梯、爬山、提重物等会加重膝盖负担的动作。如果需要长时间站立或行走,可以适当休息,活动一下膝盖,缓解膝盖压力。干家务、做农活时,也要注意劳逸结合,不要一次性做太多重活。
第三防寒保暖:膝关节周围循环较差,易受风寒侵袭。气温较低时,注意佩戴护膝,防受寒。
第五科学锻炼:适当运动能保护关节,但要选择对膝盖友好的运动,比如游泳、骑自行车、散步等。这些运动既能锻炼身体,又不会给膝盖带来太大压力。避免剧烈运动,比如快跑、跳绳、打篮球等,这些运动容易损伤膝关节。锻炼前做好准备活动,舒展膝关节;锻炼时穿合适的运动鞋。
第六健康饮食:在日常饮食中,要注意补充钙、维生素D等营养物质,这些物质对骨骼健康很重要。可以多吃一些牛奶、鸡蛋、豆制品、鱼虾、新鲜蔬菜水果等,保证营养均衡。

手术中

查房中
来源:红网
作者:何改生
编辑:甘伟萍
本文为健康频道原创文章,转载请附上原文出处链接和本声明。
本文链接:https://health.rednet.cn/content/646954/55/15344868.html
时刻新闻